Skip Menu
Continue
  • 1008 Teaneck Road,
  • Suite C,
  • Teaneck, NJ 07666
  • Home
  • Meet Us
    • Meet Dr. Frohlich
    • Meet Dr. Solaimanzadeh
    • Meet Our Team
    • Office Tour
  • Dental Services
    • Dentures
    • Crowns
    • Bridges
    • Tooth Extractions
    • Invisalign®
    • Periodontics
    • Endodontics
    • Dental Implants
    • LANAP
    • iTero® Intraoral Scanner
    • OPUS
    • Sleep Apnea
    • Snoring Appliances
  • Cosmetic Dentistry
    • Introduction
    • Teeth Whitening
    • Porcelain Veneers
    • Bonding
    • Dental Implants
    • Invisalign®
  • Smile Gallery
  • Children's Dentistry
  • Patient Information
    • First Visit
    • Patient Registration
    • Scheduling
    • Dental Insurance & Financial Information
    • Infection Control
    • Home Care Video
  • Contact
    • Contact Information
    • Request Appointment

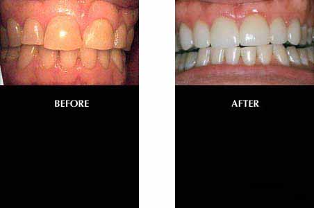
Smile Gallery

Our Location

1008 Teaneck Road
Suite C
Teaneck, NJ 07666
(201) 719-9305
Fax: (201) 837-0997 teaneckdentist@optonline.net

Follow Us

Teaneck Dentist

Give us a call today and we will be more than happy to answer any questions you might have. Our staff of professionals are dedicated to assisting in any way they can.

Request an Appointment